• 1402/12/12 - 14:01
  • تعداد بازدید خبر : 639
  • زمان مطالعه : کمتر از یک دقیقه

راه اندازی MRI پیشرفته بررسی ضایعات مغزی در مرکز آموزشی و درمانی پورسینا

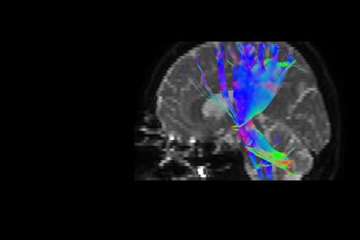
برای اولین بار در استان گیلان MRI پیشرفته بررسی ضایعات مغزی در مرکز آموزشی و درمانی پورسینا انجام شد.

به گزارش پایگاه اطلاع‌رسانی دانشگاه عاوم پزشکی گیلان (وب‌دا)؛ دکتر ظهیر ریحانیان - رئیس مرکز آموزشی و درمانی پورسینا با اعلام این خبر گفت: اولین MRI پیشرفته به صورت DTI و MRS برای بیمار مبتلا به تومور مغزی در مرکز آموزشی و درمانی پورسینا انجام شد.

وی ادامه داد: سکانس‌های فوق برای تشخیص دقیق‌تر ضایعات مغزی و افتراق آن از سایر بیماری‌های مشابه کمک کننده می‌باشد همچنین در این شیوه نقشه برداری دقیق‌تر مغز برای انجام جراحی‌های پیشرفته بسیار حایز اهمیت است.

دکتر ریحانیان تصریح کرد: بهره مندی از این فناوری جدید در تصویربرداری پزشکی بی‌شک منجر به ارایه خدمت درمانی موثرتر برای مردم شریف استان خواهد بود.

  • گروه خبری : آخرین اخبار,اخبار اختصاصی
  • کد خبر : 119611
{author_name}
تصویر نویسنده :

تصاویر

نظرات

0 نظر برای این مطلب وجود دارد

نظر دهید

آخرین بروز رسانی : 1402/12/12 14:01